V型微笑設計
AR美齒
數位口腔掃描
全瓷冠美容術
瓷牙貼片
牙齒貼片
高透感全瓷冠
微笑曲線我只選玩美!
玩美為什麼是明星級的醫療團隊?更是最多藝人選擇的牙科診所!?
對藝人而言,笑容不只是令人留下好印象的名片,更是鏡頭下的靈魂焦點。畢竟臉就是他們的第二生命,怎麼能輸在牙齒上?
玩美笑容,源自精品美學,專為鏡頭與近距離互動打造。
玩美笑容專為鏡頭而生,就算是4K超近拍也不怕~
我們的每一個微笑設計都經得起高解析鏡頭的檢視,不會有過度漂白的死白牙齒,也不會出現其他家診所因醫師審美不足、忽略唇齒比例而導致的把美齒做到像暴牙一樣的尷尬窘境。 玩美牙醫精雕細琢每一個細節,讓牙齒與五官完美協調,笑容自然、自信又優雅。
連藝人都放心的把重要如生命般的笑容交給我們,您當然也值得!
而您的美齒療程也值得擁有同樣的高標準,與明星同級的美齒笑容。


專屬數位模擬系統,初診諮詢就能看見美齒後的結果,這樣最安心!
美齒這件事,一生只做一次,當然要做得最好。
我們懂您的擔心──沒圖沒真相,怎麼知道改完是不是自己想要的?
在玩美,從初診開始醫師就會使用數位美齒模擬系統,讓您當場看見「專屬於您的美齒後的全臉笑容」,不用像別家牙科診所只能靠想像。醫師會與您現場討論細節,從牙齒弧度、比例到唇齒線條與臉型質感配搭,都為您量身訂製,就像試穿高級訂製禮服一樣,每一寸微笑曲線,都是為您量身打造。
不用冒風險、不怕後悔,療程還沒開始,妳就能清楚知道完成後會有多美。
您需要的安心與期待,玩美結合科技與審美來為您實現。
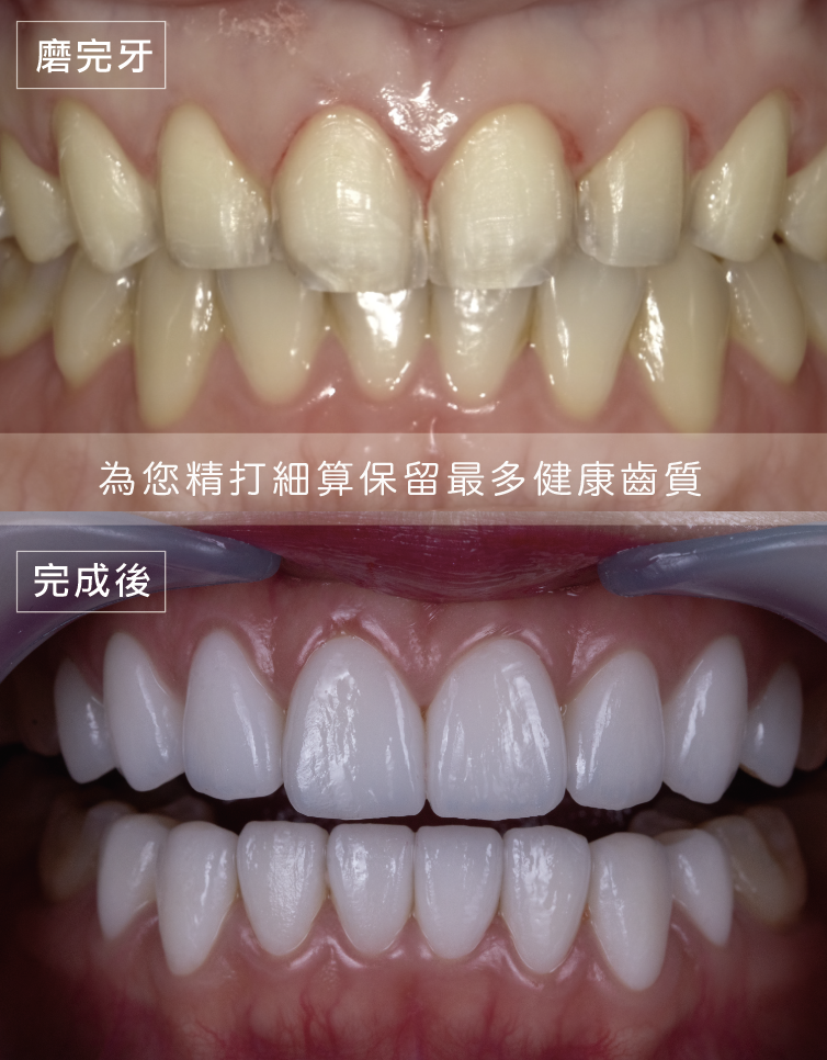
美齒療程要磨很多牙吧?會不會影響日後的健康?好擔心 ̄□ ̄
您的擔心,玩美牙醫比誰都在意~
在玩美,我們有最懂前牙美學的專科醫師團隊不靠話術~不催促您「一日完成」。 而是用最精緻客制的方式,幫您保留最多的健康齒質 !不只是貼片,我們的專家也擅長牙齒贗復、顯微根管、牙周治療與植牙全口重建,每一步都替您把關、只給您最適合的建議。
我們相信,擁有美齒是一輩子的事,應該量身定制、要精緻也要自然健康。
在玩美即使是療程中的臨時假牙,也會做到精美不出戲,日常上班、約會都一樣有自信。
選擇玩美,就是選擇一個真正為您的牙齒「長久打算」的團隊,讓每一顆牙齒、每一份笑容,都能優雅的陪您到未來。
為什麼微笑只選玩美?優勢如下:

“健康無法重來 美麗不能冒險”
一次就完美才是最划算的選擇!
“醫療沒有廉價品 “
第一次就應該笑而不是哭!
常常有貴賓在玩美進行美齒評估時流下了眼淚,看得我們好不捨 T T ~
看著他們對自己花了錢又不滿意的牙齒嘆氣,甚至哭紅了雙眼,我們團隊的每個人都於心不忍~
選擇玩美牙醫診所的專業美齒團隊,讓您一次就完美才是最划算的選擇。

.jpeg)
玩美有好康!立即預約玩美!
現在只要說出通關密語!
“玩美笑容 4K超近拍也不怕“
諮詢原價1500 只要500元!!
聯絡玩美!即刻遇見完美~
.png)


